구강 정밀 검사와 Dental X-ray를 통한 치아 전반의 상태를 확인하고,
최적의 치료 계획을 수립하여 환자 맞춤형 치과 치료를 실시합니다.
내과, 마취팀과 협진 아래, 체계화된 치료 및 회복 시스템으로
편안하고 안전한 치과센터를 자부합니다.
구강 정밀 검사와 치과 방사선을 통한 진단 및 치료 계획 수립 후,
환자 맞춤형 치료 체계
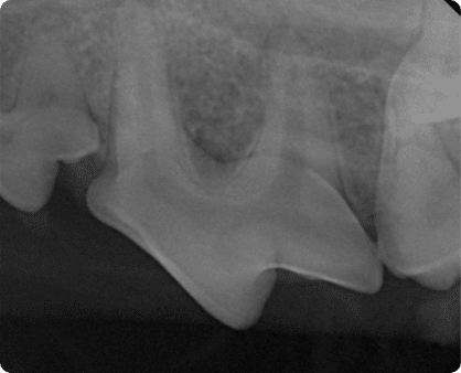
육안으로는 확인이 어려운 잇몸 아래, 치아 뿌리 및 턱뼈의 병변을
치과 방사선으로 진단
심장, 전신 질환이 있는 마취 고위험 환자도
고사양 마취기와 실시간 모니터링 시스템으로 안전한 치료 진행
예약 시스템과 보호자와의 치료 계획 공유를 통한 투명한 치과 치료 진행
수술 후 집중적인 통증 관리를 통한 당일 퇴원 시스템 구축
치태 및 치석에 존재하는 구강 세균이
치아 주변 조직인 잇몸과 잇몸뼈를 파괴하는 가장 흔한 질환



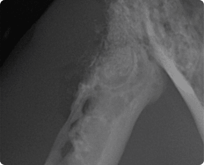
치수 감염 또는 심한 치주염으로 인해
치아 뿌리 끝에 고름주머니가 생기는 질환.
심해질 경우, 눈 밑 병변이나 턱뼈의 골절 유발 가능



외상, 중증 치주염에 의해 턱 뼈가 골절되는 상태.
특히 하악 전치부 결합부의 분리가 흔하게 관찰된다.



치아파절로 인해 신경이 노출되었거나,
감염으로 인한 치수염이 있을 경우 필요한 치료



성장 중인 개체에서 자연 발치 되지 않고 유치가 남은 상태
성장 등의 문제 혹은 선천적 문제로 인해
치아 교합이 바르지 못한 상태


치태, 치석 등에 존재하는 구강 세균에 대한
면역 반응으로 고양이 구강에서 심한 구내염이 발생하거나,
치아가 흡수되어 파괴되는 심한 소모성 질환



