반려견과 반려묘의 심장 건강을 위하여 정밀 진단과 맞춤 치료를 제공하는 심장·순환기 센터입니다.
대학병원급 영상장비와 내과·외과 협진 시스템을 갖추고 있으며, 초기 무증상부터 중증 질환까지 체계적이고 종합적인 관리가 가능합니다.
소형견에서 가장 많이 발생하는 이첨판폐쇄부전증(MMVD)과 고양이에서 가장 많이 발생하는 비대성심근병증(HCM)의
내과적인 장기 관리뿐만 아니라 선천적 질환인 동맥관개존증(PDA), 우대동맥궁 잔존증(PRAA)의 수술적 교정 또한 가능한 센터입니다.
최고사양의 Siemens Sequoia 초음파 장비를 갖추고 있습니다.
일산시티동물의료센터는 최신 고해상도 초음파 장비를 통해 세밀하게 심장을 정밀하게 분석하여 심장질환을 진단합니다.
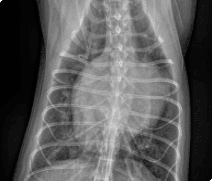
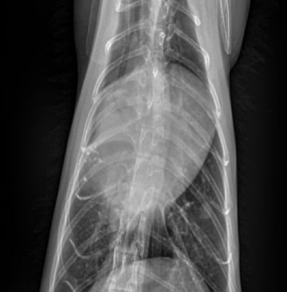
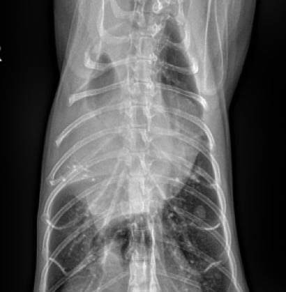
심장질환으로 인한 급성호흡곤란, 폐수종, 쇼크 등 응급 상황에 신속하고 체계적으로 대응합니다. 환자의 증상과 상태에 따라 맞춤형 응급처치 프로토콜이 즉시 적용됩니다.
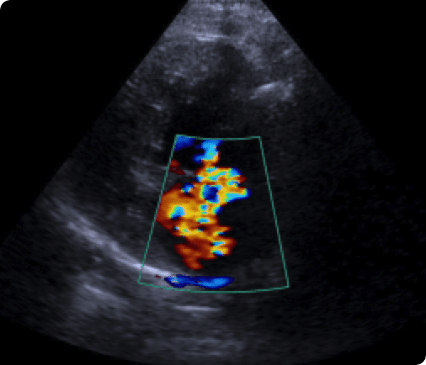
노령견에서 가장 흔한 퇴행성 심장질환으로,
판막의 기능 저하로 인해 혈액이 좌심방으로 역류하면서
심비대, 폐수종, 심부전까지 유발할 수 있는 질환.



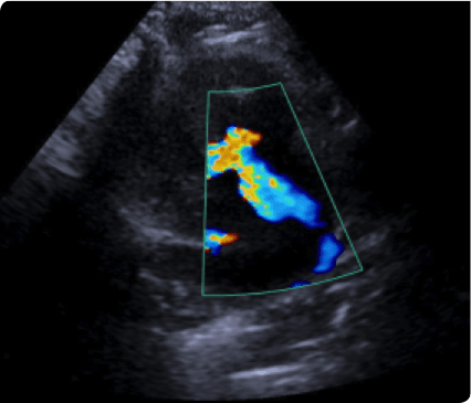
고양이에서 흔하게 발생하는 심장질환으로,
좌심실 벽이 비정상적으로 두꺼워져 심장 기능 저하, 혈전 형성,
폐수종, 급사 등을 유발할 수 있는 위험도 높은 질환.




