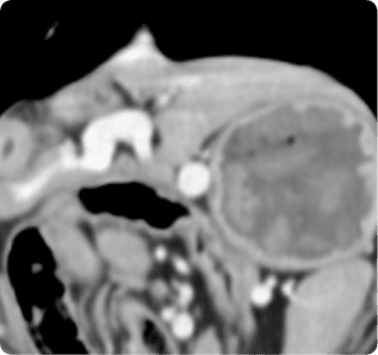
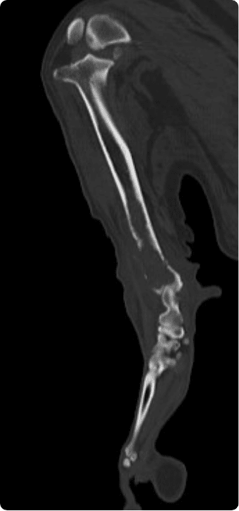
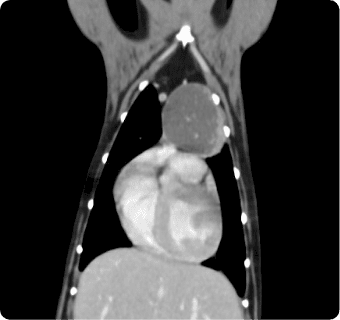
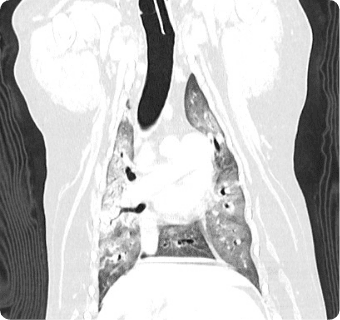
일산시티동물의료센터 영상의학센터는 최첨단 장비를 기반으로, 반려동물의 건강 상태를 보다 정확하고 신속하게
진단하는 핵심센터입니다. 고화질 CT와 초음파, 디지털 엑스레이, 투시촬영기기(C-arm)을 사용해
고해상도 영상과 정밀한 분석을 통해 질병의 조기 발견과 맞춤 치료 방향 제시를 목표로 합니다.
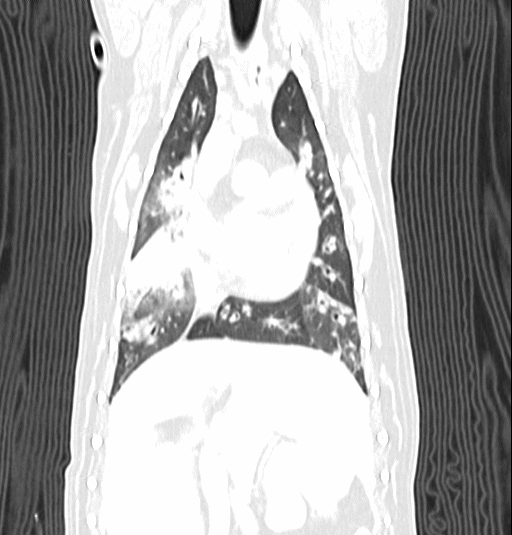
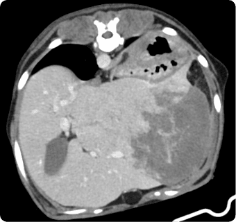
빠른 촬영속도를 통해 마취시간을 최소화 하며, 선명한 3차원 영상을 구현합니다.
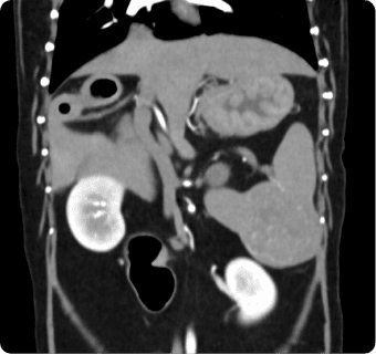
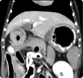
종양, 전이평가, 선천적 혈관 기형 등 여러 질환의 조기 발견 및 환자상태를 평가합니다.



이도(외이염, 중이염), 뇌수두증, 비염, 치과질환, 두경부 종양, 비강종양, 침샘질환
폐 실질 평가, 폐 염전, 폐 종양, 종격동 종양, 심장종양, 폐 전이 평가, 기관, 기관지, 식도의 평가, 복막심낭횡격막탈장, 동맥관개존증
간, 비장, 소화기, 콩팥, 방광, 부신의 종양, 간문맥전신단락, 복강 내 실질 장기 평가, 요로결석에 의한 폐색 평가
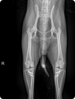
골절, 골종양 등
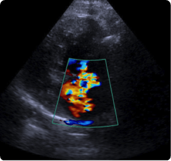
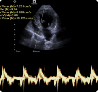
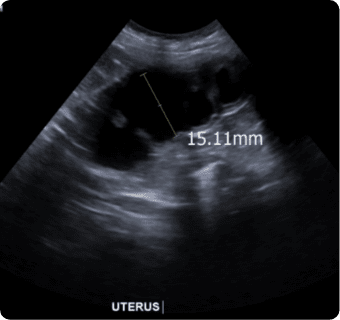
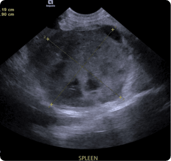
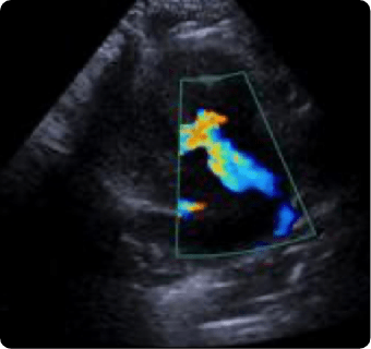
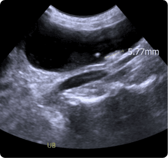
일산시티동물의료센터는 지멘스에서 개발한 고성능 프리미엄 초음파 장비인
Siemens Sequoia를 활용하여 심장, 복부 장기, 림프절 등의 구조물을 선명하게 구현하고,
미세한 해부학적 구조까지 정밀하게 확인할 수 있습니다.
이 장비는 대표적인 심장 질환인 이첨판 폐쇄부전증과 비대성 심근병증,
그리고 선천성 심혈관 질환인 동맥관 개존증, 심방중격결손, 심실중격결손 등을
진단하는 데 사용됩니다.
또한 급성 췌장염, 급성 신부전, 자궁축농증, 방광염, 요로결석, 소화기 이물,
비장종양 등의 질환을 진단하고, 환자의 상태를 평가하는 데에도 활용됩니다.
일산시티동물의료센터의 투시검사는 정형외과 수술에 이용할 수 있으며
움직이는 장기를 실시간으로 평가하는데에도 사용됩니다
일산시티동물의료센터 방사선(X-ray) 검사는 탁월한 영상품질로 세밀하고 선명한 영상을 얻을 수 있습니다.



