골절, 관절, 인대 질환까지 영상 진단과 정밀 수술로 정확히 치료합니다.
수술 후 재활 관리까지 이어지는 심화 케어로 반려동물의 움직임을 되찾아드립니다.
365일 전문 의료진이 상주하며 언제나 최적의 정형외과 진료를 약속합니다.”
외상·교통사고 등 복잡한 골절에도 맞춤형 이식물 고정과 골이식술을 적용하여 안정적인 회복을 이끌어냅니다.
소형견에서 흔한 슬개골 탈구, 심각한 경우 관절염과 인대 파열까지
영상진단-정밀 수술-재활치료를 연계하여 관절 기능 회복률을 높입니다.
십자인대 단열은 정교한 외과 수술이 핵심입니다.
TTA/TPLO 등을 포함한 다양한 수술 옵션으로 환자 맞춤 치료를 제공합니다.
선천적 탈구부터 퇴행성 관절질환까지 다양한 고관절 문제를
통증은 최소화하고 재발 방지와 기능 회복에 집중합니다.
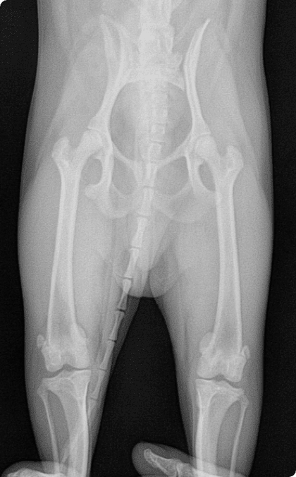
골절은 반려동물에서 흔히 발생하는 정형외과 질환으로
단순 골절부터 복합 골절까지 형태와 정도가 다양하며
주변 근육·혈관·신경 손상이 동반될 수 있어
신속하고 정밀한 치료가 필요함.
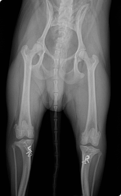
대퇴골 도르래 고랑에서 슬개골이 이탈되는 질환으로
소형견에서 가장 흔히 발생하는 관절 질환.
수술적 교정이 이루어지지 않으면
관절염 악화, 십자인대 파열, 골 변형으로 이어질 수 있음.
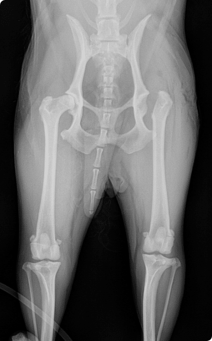
전방십자인대는 무릎 관절의 안정성을 유지하는 구조물로
외상이나 반복적 손상으로 단열될 수 있음.
약물치료만으로는 회복이 어렵고 수술적 교정이 필요함.
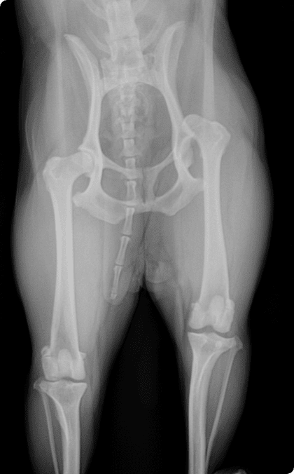
대퇴골 도르래 고랑에서 슬개골이 이탈되는 질환으로
소형견에서 가장 흔히 발생하는 관절 질환.
수술적 교정이 이루어지지 않으면
관절염 악화, 십자인대 파열, 골 변형으로 이어질 수 있음.

